[年中無休]
牛込柳町駅より徒歩約3分・新宿区市ヶ谷
【市ヶ谷動物医療センター】

ここでは特徴的な症例について、一部をご紹介いたします。
※手術の写真を掲載しておりますので、苦手な方はご注意ください。
小滝橋動物病院グループ全体の外科症例件数については、>こちらをご参照ください。

目次


下垂体腫瘍について


下垂体とは脳底部に存在し、ホルモン産生の中枢部位です。下垂体腫瘍には微小腺腫と巨大腺腫とよばれる2つの形が存在しており、ホルモン異常や脳障害を生じます。
巨大腺腫は名前の通り、下垂体が腫瘍変化により大きくなる病態です。
巨大腺腫の場合に問題となるのは、巨大になった下垂体により周囲の正常な脳が圧迫されることによる意識障害や発作、ふらつき等を生じることです。ホルモン異常は生じないこともあります。
下垂体巨大腺は比較的ゆっくりと進行する腫瘍で、見つかったときにはかなり大きくなっていることが一般的です。

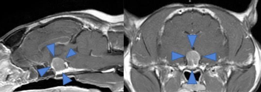
MRI検査にて下垂体腫瘍と診断した症例


高齢の猫さんで、歩いている時に時々ふらついて倒れてしまうという主訴で来院されました。
院内の検査では、意識レベルの軽度低下と歩行時のふらつきが認められました。間脳や脳幹といった部位の異常が疑われたため、頭のMRI検査を実施しました。
MRI画像所見/下垂体腫瘍

MRIでは下垂体が非常に大きくなっており(矢印で囲った部分)、直上にある間脳、中脳(脳幹の一部)を圧迫していました。
通常の下垂体は約2~3mm程度ですが、この症例では9mm程度まで大きくなっていました。大きくなった下垂体により正常な脳が圧迫され、意識障害やふらつきが生じている状態と考えられました。
下垂体腫瘍は放射線治療によく反応し、治療後には腫瘍の縮小と比較的長期間にわたり維持ができることが知られています。放射線治療に関して、飼い主様のご希望がありましたので、放射線治療が実施可能な大学病院へとご紹介させていただきました。


猫の脳腫瘍は下垂体腫瘍に関わらず早期発見が困難なことがあります(犬と比べて脳の症状がでにくく、わかりづらい)。少しでも異常を感じましたら早めにご相談ください。


執筆担当:獣医師 武藤陽信