[年中無休]
牛込柳町駅より徒歩約3分・新宿区市ヶ谷
【市ヶ谷動物医療センター】

ここでは特徴的な症例について、一部をご紹介いたします。
※手術の写真を掲載しておりますので、苦手な方はご注意ください。
小滝橋動物病院グループ全体の外科症例件数については、>こちらをご参照ください。

目次


猫の胸腺腫について

 胸腺腫とは、胸腺上皮由来の腫瘍であり、前縦隔(胸郭内の前方に位置する)という部位に発生します。基本的には高齢の猫で発生することが多いですが、比較的若い猫(2~3歳)で発生した症例の経験もあります。
 前縦隔にはその他に縦隔型リンパ腫など他の腫瘍が発生することもあるので、胸腺腫かどうかの鑑別が必要になります。基本的には、細胞診検査や超音波検査などを行い腫瘍の鑑別を進めます。また、同時に全身状態の確認のため、全身精査(血液検査やレントゲン検査、CT検査など)が必要となります。
 胸腺腫は、症状を示さないことも多いですが、活動性・食欲の低下、頻呼吸、咳などの症状を示すこともあり、様々な腫瘍随伴症候群も報告されています。猫の腫瘍随伴症候群には、重症筋無力症、高カルシウム血症、剝奪性皮膚炎などがあります。
 治療は、基本的に第1選択として外科手術が適応となってきます。他には、内科療法や放射線療法が挙げられますが、手術不適応の症例や外科手術と併用して行っていくことが多いです。

猫の胸腺腫で外科手術を行った症例


 症例は8歳の猫ちゃんです。
 数週間前から咳のようなものをするという主訴で来院されました。

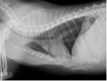
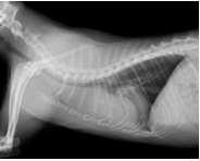
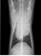
 レントゲン検査にて、前胸部を大きく占める白い影が認められました。その部分を超音波にて確認したところ、心臓の前方に大きな腫瘤が確認できたので、針生検を行い、細胞診検査を行いました。br>
↑初回診察時の胸部レントゲン
 細胞診の検査結果において、胸腺腫が疑われました。腫瘍のサイズがかなり大きかったため、外科手術の前に減容積を目的としたステロイドの内服薬による治療を開始しました。

 幸いステロイドにより、減容積の効果が高く得られたので、そのまま外科手術にて腫瘍摘出術を行いました。
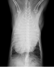
↑ステロイド服用後の胸部レントゲン
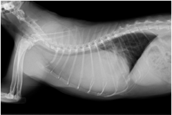
↑術後約1週間の胸部レントゲン
 大きな手術でありましたが、約1週間の入院を経て無事に退院し、その後は通常通りの生活を送れています。この子のようにちょっと咳をするなどの軽い症状でも、意外と大きな病気が潜んでいることもあります。ただし、早期に病気を見つけてあげて早期に治療することで、良好な状態を維持することや完治を目指すこともできます。少しでも変わったことや気になることがあれば何でもご相談してください。


執筆担当:獣医師 舟山卓