[年中無休]
牛込柳町駅より徒歩約3分・新宿区市ヶ谷
【市ヶ谷動物医療センター】

ここでは特徴的な症例について、一部をご紹介いたします。
※手術の写真を掲載しておりますので、苦手な方はご注意ください。
小滝橋動物病院グループ全体の外科症例件数については、>こちらをご参照ください。

犬の毛包虫症

<犬の毛包症について>
毛包虫(ニキビダニ)は外部寄生虫のダニであり、毛包に寄生するDemodex Canis、脂腺および脂腺導管に寄生するDemodex injaiに大きく分けられます。

感染原因として生後2-3日で母犬から移行するとされており、健康な犬にも常在していますが過剰増殖により皮膚炎を引き起こします。
毛包虫は小さく肉眼では見つけられないため、鋭匙等で皮膚の一部を削り取り顕微鏡下で観察する皮膚搔爬検査、毛を一部抜いて毛包部分を顕微鏡下で観察する抜毛検査が必要となります。
好発犬種はシャー・ペイ、ウエスト・ハイランド・ホワイトテリア、ボストン・テリア、グレートデン、ワイマラナー、ジャーマン・シェパード等です。
毛包虫症の発現には主に免疫不全が関与しており、
▶︎若齢発症型では栄養不良による免疫力低下等
▶︎成犬発症型では高齢による免疫力低下、他疾患併発による免疫力低下(例として甲状腺機能低下症、副腎皮質機能亢進症、糖尿病、悪性腫瘍)、免疫抑制剤の使用等
の要因があります。
治療は大環状ラクトン系化合物(イベルメクチン、モキシデクチン、ミルべマイシン)やイソキサゾリン系化合物(フルララネル、アフォキソラネル、サロラネル)等による毛包虫の駆虫やシャンプー、成犬発症型の場合は背景疾患の治療が必要となります。
毛包虫の生活環
<毛包虫に感染し重度皮膚炎を起こした症例>
犬、4歳、シーズー 3年程前から皮膚を痒がっているとの主訴で来院されました。
来院時、皮膚は全身に痂疲付着、発赤、脱毛が認められました。
(頭部:痂疲の重度付着)
(腋窩、腹部:広範囲な脱毛、発赤)
(体幹部:広範囲な脱毛)
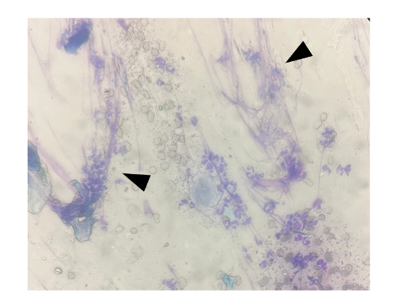
皮膚掻爬検査を実施し、顕微鏡下で多数の毛包虫成虫、毛包虫卵が発見されました。また二次的に細菌感染も起こしており変性好中球も認められました。
(黒矢印:40倍視野に認められる多数の毛包虫成虫)
(黒矢印:毛包虫成虫)
(黒矢印:毛包虫虫卵)
(黒矢印:変性好中球)
この症例は、他院からの指示で痒みに対してステロイドを内服中でした。治療としてステロイドは休薬し、その後イミダクロプリド・モキシデクチン、アフォキソラネルの投薬により皮膚症状は良化しご自宅で駆虫薬の継続をして頂くことになりました。またこの症例の場合、成犬発症型のため基礎疾患の精査を推奨しました。
犬の皮膚の痒みの要因として一番多いのはアレルギー性疾患に関連したものですが、毛包虫に罹患している場合アレルギー性疾患でよく使用するステロイド等の免疫抑制剤を投薬すると、毛包虫の発現に免疫不全が関与していることから症状が悪化することが多いです。従って治療開始前に疾患鑑別のための厳密な精査が必要となります。
なにか痒みや脱毛等、皮膚症状でお困りのことがございましたらお気軽にご相談下さい。

執筆担当:獣医師 能見遥