[年中無休]
牛込柳町駅より徒歩約3分・新宿区市ヶ谷
【市ヶ谷動物医療センター】

ここでは特徴的な症例について、一部をご紹介いたします。
※手術の写真を掲載しておりますので、苦手な方はご注意ください。
小滝橋動物病院グループ全体の外科症例件数については、>こちらをご参照ください。

目次


犬の僧帽弁閉鎖不全症について


僧帽弁閉鎖不全症(そうぼうべんへいさふぜんしょう)とは犬の代表的な心臓病です。
この病気は小型犬に好発し、10歳以上の小型犬の約30%以上が罹患するとも言われています。
心臓の左心房と左心室という部屋を隔てている僧帽弁と呼ばれる装置が、変性し血液の逆流が発生してしまうのがこの疾患の本態です。
本来左心房から左心室へ血液は一方通行で流れていきますが、僧帽弁における逆流の発生により左心房は腫れてしまい(心肥大)、重症化すると肺水腫に陥り、致命的になってしまいます。
症状としては
・動きたがらなくなった
・疲れやすい
・咳をするようになった
・呼吸が苦しそう、呼吸が荒い
・突然ふらつく、倒れてしまう
など様々なものが挙げられます。
診断はレントゲン検査と超音波検査によって行い、またこの2つの検査をもってある程度の重症度を評価できます。
治療は内科的に薬で維持していく方法と、外科的に手術で根治的に治す方法があります。
今回はお薬によって内科的に治療した症例をご紹介致します。




犬の僧帽弁閉鎖不全症に対して内科治療を行った症例



この症例は11歳のチワワさんです。
主訴は
・失神をする
・最近咳が多い
・疲れやすい
・他院で心雑音を指摘
とのことで来院されました。

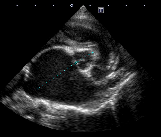
レントゲン検査において、心陰影の拡大(心肥大)が認められ、超音波検査において重度の僧帽弁閉鎖不全症と左心房の拡大が確認されました。
初診時のレントゲン検査 心陰影の拡大
初診時の超音波検査 左心房の拡大
手術による根治治療も適応でしたが、お薬による内科的治療が選択されました。
その後は、肥大してた心臓も少し小さくなり、
症状も
・失神が無くなり
・咳も少なくなり
・沢山遊んで元気になり
とても元気そうに病院にいらっしゃるようになりました。

1年後のレントゲン検査 心陰影の縮小
1年後の超音波検査 左心房の縮小
当グループ病院では、専門医による外科的根治治療(手術)も可能です。
上記のような症状が出ましたら、お気軽に当院までご相談ください。



執筆担当:獣医師 渦巻浩輔